Rehabilitación Cerámica Total Adhesiva Alargamiento Coronario Bruxismo
Diseño Sonrisa Digital .
Arquitectura del tratamiento:
Escáner Intraoral.- Fotografía dental - Análisis facial estático -Video - Análisis facial dinámico Digitalización del paciente.Diseño de sonrisa digital.Simulación real de sonrisa. Ortodoncia Invisible. Invisalign
Procedimientos:
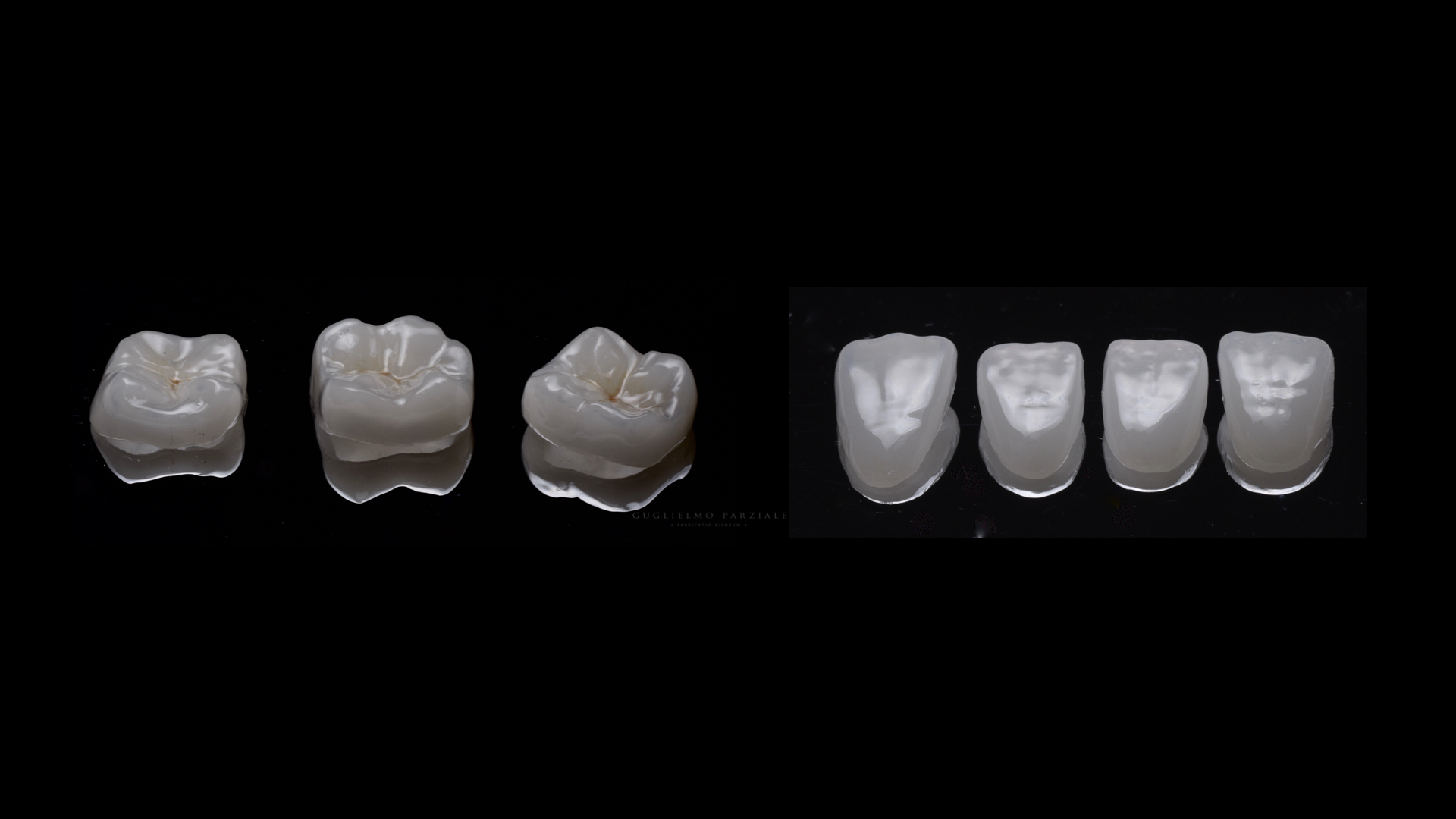
Alargamiento coronario.-Incrustaciones de Porcelana. Coronas cerámica total. Incrustaciones Cerámicas. Carillas Dentales Aumento de dimensión vertical. Férula Descarga tipo Michigan
El paciente acudió porque había desgastado mucho sus dientes. Comentó que rechinaba los dientes desde hace mucho tiempo y se dio cuenta de que necesitaba arreglarse la boca.
También expresó su deseo de mejorar la apariencia al sonreír. Me dispuse a realizar un diseño de sonrisa digital para evaluar la mejor opción para su caso.
Tras el estudio de su situación, programamos una segunda cita donde llevamos a cabo una simulación real del posible resultado final. Una vez aprobada esta etapa, el paciente comenzó el tratamiento. La estrategia consistió en utilizar ortodoncia invisible para mejorar la posición de los dientes, preparándolos para una futura restauración cerámica estéticamente óptima y funcional.
La planificación de la ortodoncia se realizó considerando la posición final de la restauración de cerámica, lo que permitió ser mínimamente invasivos en la preparación dental. Este enfoque se conoce como ortodoncia invisible guiada, ya que se planifica en base a un proyecto 3D restaurador. Al finalizar la ortodoncia, se explicó al paciente la necesidad de realizar una adaptación del proyecto y un control de calidad antes de proceder al alargamiento coronario o remodelación de encías.
Tras la fase de cicatrización de encías, que suele durar entre 3-6 meses, adaptamos el proyecto final a la nueva posición de las encías. Utilizamos estas referencias para preparar todas las herramientas necesarias para la preparación dentaria y ejecutar las restauraciones de cerámica adherida.
La restauración total incluyó coronas totales en algunos dientes, carillas en otros y incrustaciones en algunos más. El paciente recuperó su deseo de sonreír y disfrutar de las comidas, ya que antes no comía bien. Destaca que el tratamiento fue indoloro, a pesar de su duración y extensión. Afirma que valió la pena y está encantado con el resultado final.
Además, el paciente utiliza una férula de descarga todas las noches para proteger sus dientes durante el sueño.
Mi sonrisa ha recuperado su esplendor.
Estoy muy agradecido por haber encontrado a un dentista tan excepcional.
¿Hablamosde tu caso?
e-mailenviar
¿Eres un profesional dela odontología?
Solicita el estudio detallado de este o cualquier otro caso clínico aquí.














