Alargamiento Coronario. Recontorneado Gingival . Carillas Dentales
Diseño de Sonrisa Digital (DSD)
Arquitectura del tratamiento:
Escáner Intraoral.- Fotografía dental - Análisis facial estático -Video - Análisis facial dinámico Digitalización del paciente.-Diseño de sonrisa digital.-Simulación real de sonrisa.
Procedimientos:
Alargamiento coronario. Remodelación Gingival Ferula Quirúrgica 3D de alargamiento corona. Odontología Guiada. Ingeniería Inversa Carillas dentales. Cierre de Diastemas
El paciente acudió a mí porque no estaba contento con su sonrisa gingival. La sonrisa gingival se refiere a la exposición excesiva de la encía al sonreír, y en algunos casos, puede no ser armónica con la cara.
El paciente me comentó que al ver mi página web, observó muchos casos que le gustaron en los que se había tratado la sonrisa gingival de otros pacientes. Expresó su interés en obtener información sobre el procedimiento.
Le expliqué que lo primero que debíamos realizar era un estudio de sonrisa digital para determinar la nueva posición de la encía y mejorar la estética de sus dientes, así como cerrar los diastemas o huecos entre los dientes. Después de la digitalización del paciente, elaboramos un proyecto personalizado para intentar cumplir con todas las expectativas del paciente. En la fase 2 del estudio de sonrisa, creamos una maqueta o mockup que ayudó al paciente a decidir el tratamiento que deseaba.
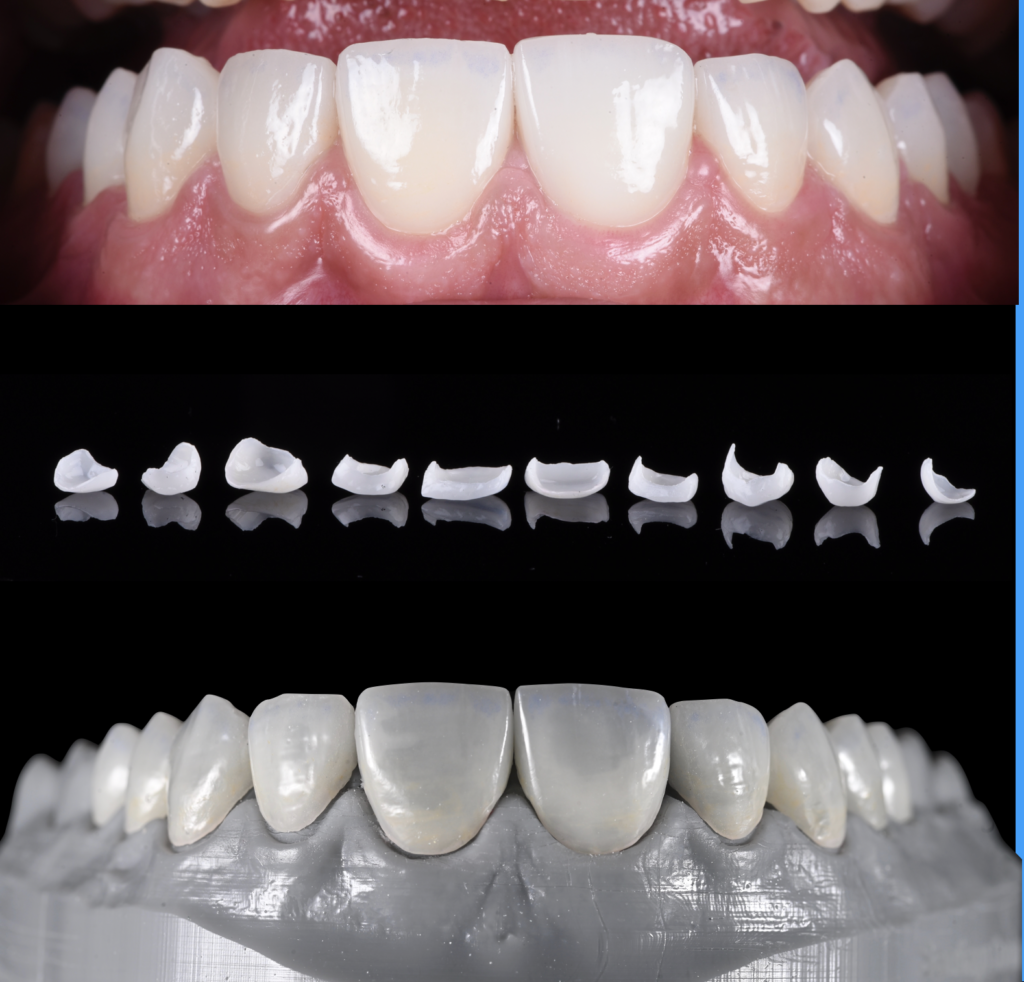
Posteriormente, llevamos a cabo la remodelación de la encía y la remodelación ósea para armonizar el aspecto de su hueso y encía. Después de la cicatrización de la encía, que suelo esperar entre 3-6 meses, procedimos a adaptar el proyecto a la nueva posición de la encía y a realizar el mockup técnico para aprobar el proyecto y generar las herramientas que me permitieran controlar en todo momento la ejecución (odontología guiada mediante ingeniería inversa).
Una vez realizada la mínima preparación de los dientes para generar el suficiente espacio para la porcelana y lograr naturalidad y luminosidad en el caso, procedimos al cementado y a las fotos finales del caso. El paciente está muy contento con el resultado y me comentó que su nueva sonrisa es exactamente como la imaginaba. Destacó que ver su futura sonrisa en la simulación real o maquetadías antes de empezar el tratamiento le brindó confianza
Estoy enormemente agradecido al Dr. Brunner por su excelente trabajo
Estoy enormemente agradecido al Dr. Brunner por su excelente trabajo, por devolverme una sonrisa radiante y por hacer que cada visita fuera una experiencia sin dolor y sin preocupaciones.
¿Hablamosde tu caso?
e-mailenviar
¿Eres un profesional dela odontología?
Solicita el estudio detallado de este o cualquier otro caso clínico aquí.















