Implantes Inmediatos. Carga Inmediata. Rehabilitación Total sobre Implantes
Protesis fija. Protesis Híbrida Sobre Implantes. Dientes en el mismo día
Arquitectura del tratamiento:
Fotografía dental - Análisis facial estático -Video - Análisis facial dinámico .-Diseño de sonrisa digital.
Procedimientos:
Extracciones dentales Protesis Hibrida Carga Inmediata Sedación Consciente Dientes fijos el mismo día.
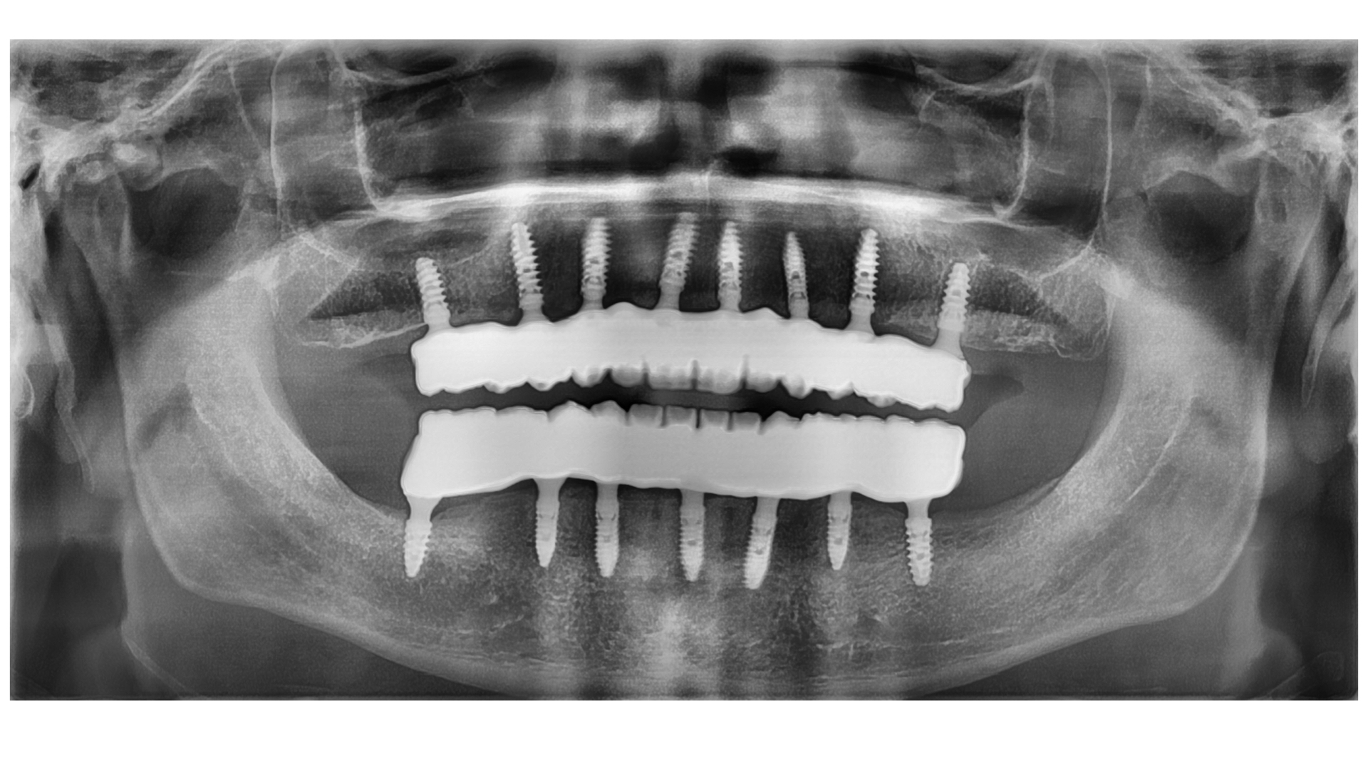
El paciente acudió debido a que tenía muchas piezas dentales ausentes, y las que le quedaban estaban en mal estado. Sabía que era necesario extraer todos los dientes y colocar implantes.
Después de un análisis completo y de revisar su Tomografía Axial Computarizada (TAC), propuse extraer todos los dientes existentes y colocar implantes el mismo día, También le ofrecí la posibilidad de tener dientes fijos el mismo día de la cirugía, lo que se conoce como carga inmediata de los implantes con una prótesis híbrida provisional, en caso de que la estabilidad de los implantes fuera buena.
Paciente siempre había tenido mucho miedo al dentista, por lo que le propusimos proceder con la cirugía bajo sedación consciente, para que el paciente estuviera tranquilo y no recordara nada después de despertarse de la cirugía. El paciente aceptó, así que realicé la cirugía con anestesia y sedación consciente, y la cirugía salió muy bien, lo que nos permitió tomar medidas el mismo día y hacer una carga inmediata, evitando que el paciente estuviera sin dientes en ningún momento. Una vez que los implantes se habían cicatrizado, tomamos medidas para la prótesis definitiva, que en este caso fue hecha de circonio. El paciente está feliz con su sonrisa, pero sobre todo comenta que ahora puede comer con alegría.
Antes de conocer al Dr. Brunner, me sentía inseguro debido a la pérdida de dientes, y mi sonrisa estaba lejos de ser lo que solía ser.
Los implantes dentales que él realizó han tenido un impacto inmenso en mi calidad de vida. Antes de conocer al Dr. Brunner, me sentía inseguro debido a la pérdida de dientes, y mi sonrisa estaba lejos de ser lo que solía ser.
Gracias al Dr. Brunner, he recuperado mi confianza y mi sonrisa radiante. Si estás buscando a un cirujano experto en implantes dentales, el Dr. Brunner es la elección perfecta. Cambió mi vida y estoy seguro de que hará lo mismo por ti.
¿Hablamosde tu caso?
e-mailenviar
¿Eres un profesional dela odontología?
Solicita el estudio detallado de este o cualquier otro caso clínico aquí.











