Rehabilitación Total Ceramica Adherida Paciente Bruxista
DISEÑO DE SONRISA PARA CASO DE DESGASTE DENTAL AVANZADO
Arquitectura del tratamiento:
Fotografía dental - Análisis facial estático -Video - Análisis facial dinámico Diseño de sonrisa digital.-Simulación real de sonrisa. Simulación Real de Sonrisa “mock up”
Procedimientos:
Alargamiento Coronario - Cirugia plástica de encías. Reposición piezas dentales perdidas con Implantes dentales Alargamiento coronario.-Coronas de porcelana Aumento de dimensión vertical. Ferula de descarga
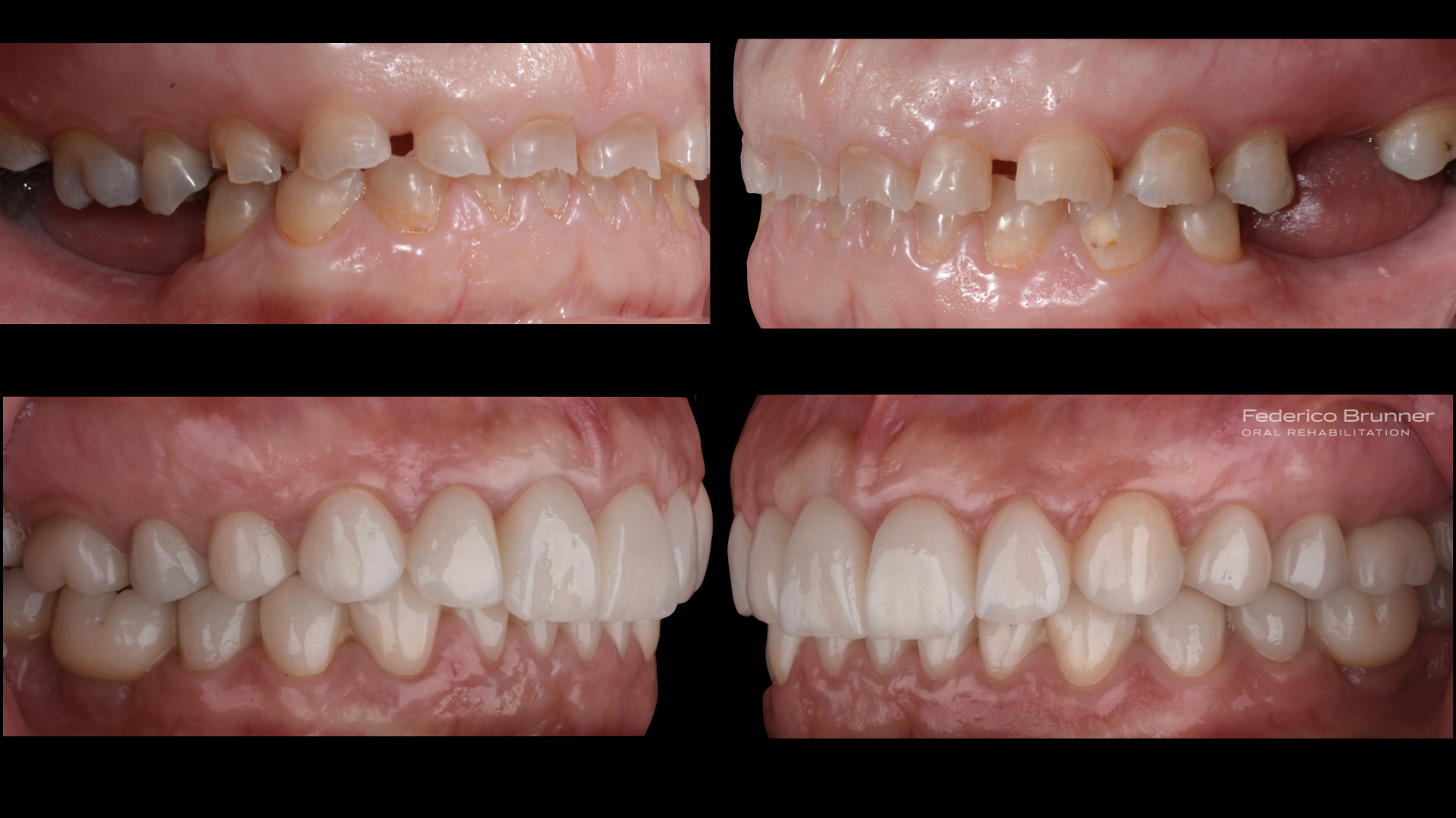
La paciente acudió debido al desgaste dental severo que presentaba, este problema le estaba ocasionando dificultades masticatorias, problemas digestivos y alteraciones en su estética
La paciente acudió debido al desgaste dental severo que presentaba, este problema le estaba ocasionando dificultades masticatorias, problemas digestivos y alteraciones en su estética, lo que la llevaba a sentir que ya no quería reír ni socializar.
Le propuse obtener toda la información posible y realizar un Diseño de Sonrisa para analizar su caso. Este caso se llevó a cabo en 2014 y se realizó de manera analógica, siguiendo métodos clásicos de esa época.
Una vez concluido el estudio de la sonrisa, creamos una simulación real o "mock-up" para que la paciente pudiera visualizar y comprender el resultado final antes de iniciar el tratamiento.
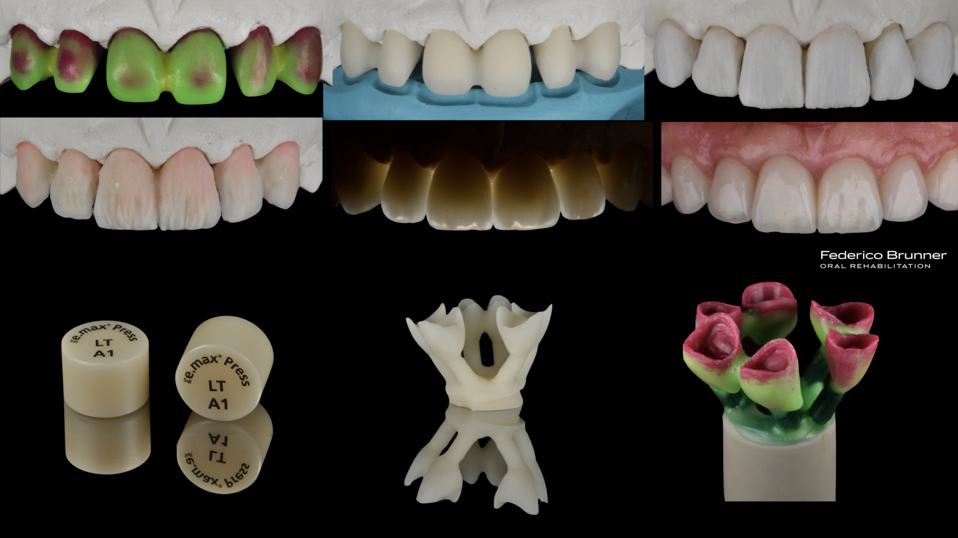
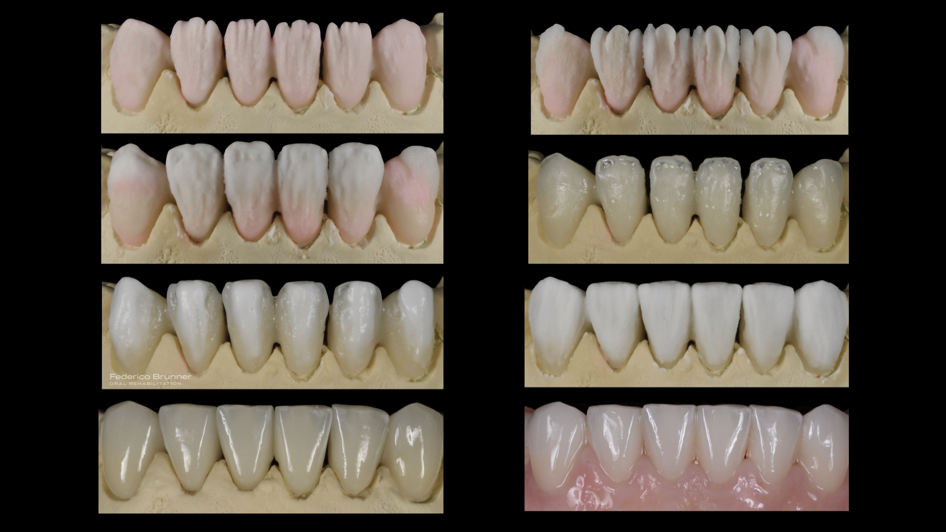
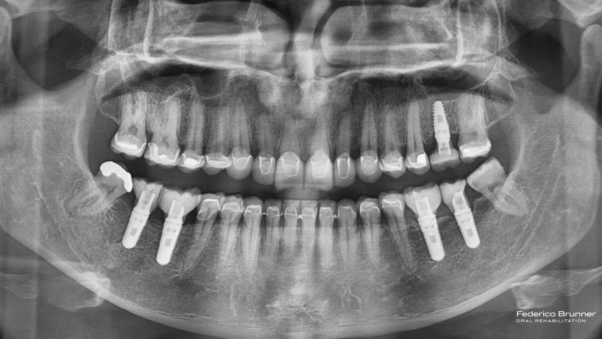
La paciente quedó encantada con el "mock-up", lo que nos permitió comenzar el tratamiento. En este proceso, realizamos un alargamiento coronario para mejorar la sonrisa gingival, ya que exponía demasiada encía. Luego, planificamos y ejecutamos una rehabilitación total cerámica adherida sin metal. Además, reemplazamos las piezas perdidas con implantes dentales, lo que nos permitió restaurar la función y hacer desaparecer los problemas masticatorios y digestivos.
Con la recuperación de la estética, la paciente recuperó su alegría y volvió a sonreír con confianza.
La paciente duerme todas las noches con su férula de descarga tipo Michigan para proteger la restauración
¡No puedo elogiar lo suficiente su dedicación y resultados excelentes!
Su profesionalismo y ética de trabajo impecable me dieron la confianza de que estaba en buenas manos. ¡No puedo elogiar lo suficiente su dedicación y resultados excelentes!
¿Hablamosde tu caso?
e-mailenviar
¿Eres un profesional dela odontología?
Solicita el estudio detallado de este o cualquier otro caso clínico aquí.
















