Sustitución de carillas dentales.
Estudio y rediseño de la sonrisa
Arquitectura del tratamiento:
Diseño de sonrisa, carillas.
Procedimientos:
Escáner Intraoral, Fotografía Dental, Análisis Facial Estático y Dinámico, Digitalización, Blanqueamiento Dental, Alargamiento Coronario, Incrustaciones de Porcelana, Aumento Dimensión Vertical.
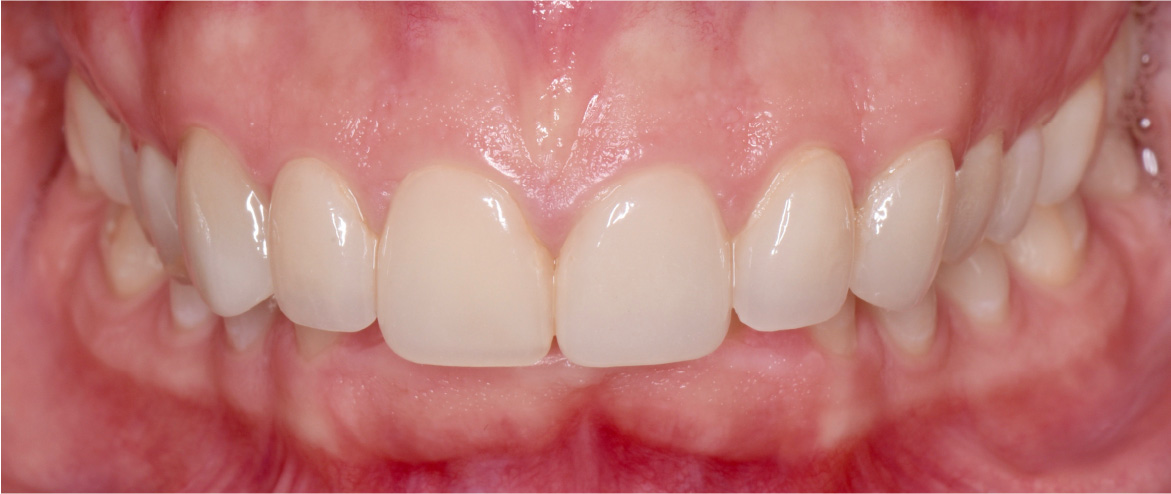
La paciente acudió a mi consulta para cambiar el aspecto y forma de su sonrisa, tampoco se sentía satisfecha con el tono de sus dientes.
Como podemos observar en este caso, ya tenía carillas dentales en el maxilar superior que habían sido realizadas previamente. Estas carillas presentaban un color amarillento y una curva de sonrisa invertida, lo que la hacía sentir insatisfecha con su sonrisa.
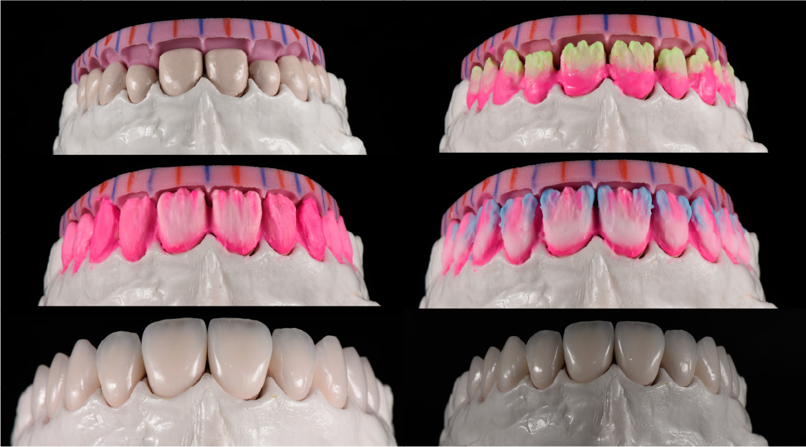
Después de realizar un Estudio de Diseño de Sonrisa, y este mismo ser aprobado por la paciente y por mi, procedimos a retirar las carillas antiguas y tomar medidas para la fabricación de las nuevas.
Estas carillas fueron elaboradas en nuestro laboratorio de excelencia dental, el cual las completó en tan solo 7 días. Se crearon siguiendo el diseño de sonrisa personalizado que la paciente previamente había aprobado. Una vez que recibimos las carillas dentales, procedí a cementarlas y a tomar las fotografías finales.
Recientemente a paciente me envió fotografías de su boda, donde podemos apreciar lo hermosa y deslumbrante que se ve ahora.
La profesionalidad del Dr. Brunner es impecable.
Su experiencia en el campo de la odontología estética es evidente en cada consulta, gracias a su meticulosidad y su estudio detallado de cada paso a seguir. Además, su trato amable y su disposición para escuchar y responder a mis preocupaciones han sido excepcionales. Siempre se toma el tiempo necesario para explicar los procedimientos y opciones de tratamiento, lo cual me hace sentir valorada como paciente. Es reconfortante saber que estoy en manos de un médico tan competente y amable.
¿Hablamosde tu caso?
e-mailenviar
¿Eres un profesional dela odontología?
Solicita el estudio detallado de este o cualquier otro caso clínico aquí.







